
昨天李老师给大家精讲了一道2026年考题,有网友反馈存在问题,今天我再给大家分析解读一下
题目是:如果怀疑有少量硬膜外、硬膜下血肿,为了能更好的显示病灶,怎么调整窗宽?
A、适当加大窗宽
B、适当缩小窗宽
C、适当缩小窗位
D、适当加大窗位
E、双窗技术观察
先从实际工作中进行分析:
第一种情况是:有低密度的脑组织,较高密度的出血,高密度的颅骨,三者都要显示,就要调高窗宽,才能显示这么多结构。
案例1:增大窗宽的案例

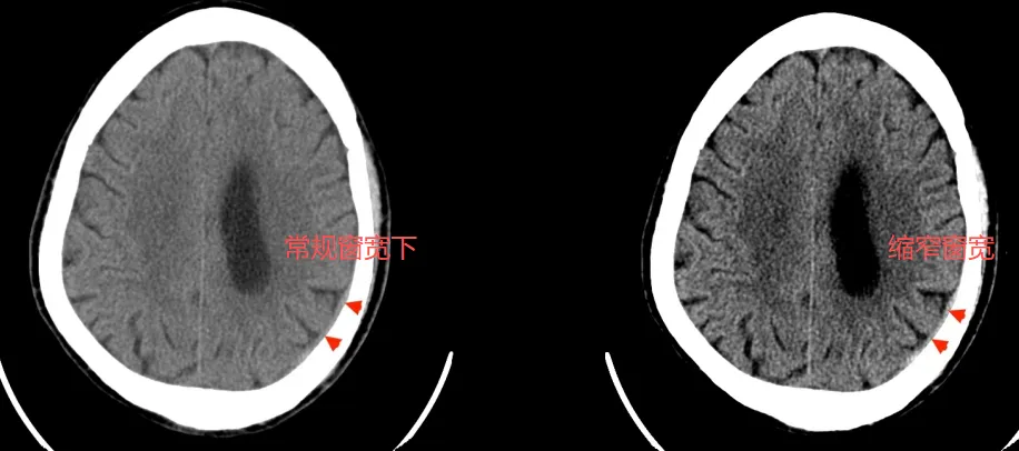
第二种情况是:少量的血肿在颅脑不一定是高密度,而是和脑组织密度差不多,这个时候他们之间的对比度差别不大。为了能更好的显示病灶,这个时候应该是缩窄窗宽。
案例2:缩窄窗宽案例

通过这两个案例告诉我们,两种情况都能行得通。但是考试需要唯一答案。那么到底选什么呢?
在实际情况中,第一种情况脑出血表现为较高密度碰到的比较多一些,而第二种情况比较少见。所以建议大家还是选增大窗宽。之前发布的缩窄窗宽考虑不周全。但是在实际工作中,我们还是要多实践、多尝试,不能完全照搬理论,什么情况都可能存在。
这个题目答案改为:A、适当加大窗宽。
注意这个题目还有个坑,就是题目只问怎么调整窗宽,没问调整窗位,窗位应该也要相应提高,因为出血的CT值在80HU左右。所以D不能选。
也有可能下次改问你怎么调整窗位,大家需要注意了。
有同学问:
什么情况下调整窗宽、窗位?
调整窗宽,关键在于你想看多少东西,调整对比的。
比如你想看很多结构软组织、肌肉、骨骼、脂肪都想看到,组织层次要丰富,这个时候对比度就会低,这个时候选大窗宽。
比如你想看低对比组织的差别,这个时候就要缩窄窗宽,图像对比度增加,而显示的组织结构就会少。
调整窗位,关键在于你看什么组织为主。
比如你想看骨骼为主即骨窗,窗位就比较高300~500HU。
比如你想看软组织为主即软组织窗,窗位就在30~50HU。
我们怀着万分愧疚的心情,向所有受到困扰的朋友们,致以最诚挚的歉意。虽然两种情况都可能存在,还是我们没有考虑周全,感谢大家的理解、包容与监督,也欢迎大家在后续发现问题时,及时与我们联系,帮助我们不断改进。我们将以此次失误为警示,更加严谨、认真地做好内容运营,不辜负大家的陪伴与信任。不断学习,不断成长!