
今天李老师给大家来精讲一道2026年考题:
有主管技师学员反馈这个题目
如果怀疑有少量硬膜外、硬膜下血肿,为了能更好的显示病灶,怎么调整调整窗宽窗位?
A、适当加大窗宽
B、适当缩小窗宽
C、适当缩小窗位
D、适当加大窗位
E、双窗技术观察
你的答案是?
这个题目解题的关键是“少量”,少量的血肿在颅脑不一定是高密度,而是和脑组织密度差不多,这个时候他们之间的对比度差别不大。为了能更好的显示病灶,这个时候应该是缩窄窗宽。
为什么是缩窄窗宽呢?
就是因为对比度差别不大。
我们来看个图就知道了
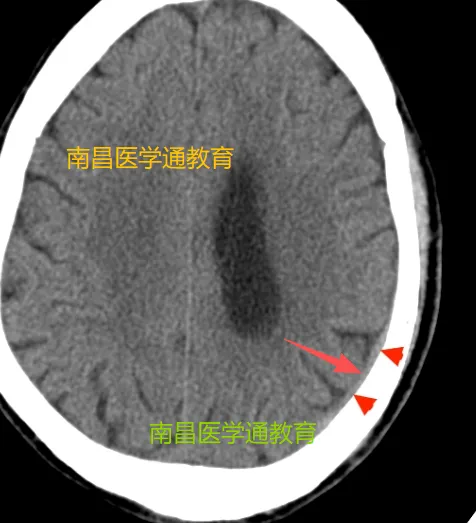
下图是大窗宽下显示的少量硬膜下血肿

是不是很难发现这个少量的硬膜下血肿。
下面是窄窗宽显示的效果:

大家看是不是更好的显示了。
调整窗宽,关键在于你想看多少东西,调整对比的。
比如你想看很多结构软组织、肌肉、骨骼、脂肪都想看到,组织层次要丰富,这个时候对比度就会低,这个时候选大窗宽。
比如你想看低对比组织的差别,这个时候就要缩窄窗宽,图像对比度增加,而显示的组织结构就会少。
最后我们的答案是B、适当缩小窗宽,你做对了吗?
好了今天就给大家解答到这,专攻术业,学而精通,专业靠谱的课程找我们就对了,请关注我们吧!
文章来源:
四季读书网
版权声明:本文内容由互联网用户自发贡献,该文观点仅代表作者本人。本站仅提供信息存储空间服务,不拥有所有权,不承担相关法律责任。如发现本站有涉嫌抄袭侵权/违法违规的内容, 请发送邮件至23467321@qq.com举报,一经查实,本站将立刻删除;如已特别标注为本站原创文章的,转载时请以链接形式注明文章出处,谢谢!