
2026年初中级备考-今日10题
来源:检验人生
1.患者男,56岁。在进行“右肝癌切除”手术过程中突然大出血,急需输血。该患者的血型为“A型,Rh阴性”,但此时血站没有同型血,在紧急情况下可以接受的血型是( )。
A.AB型、Rh阴性
B.B型、Rh阴性
C.B型、Rh阳性
D.O型、Rh阴性
E.O型、Rh阳性
【答案】D
【解析】
O型Rh阴性红细胞表面既没有A抗原又没有B抗原,不与受血者体内的血型抗原反应,可作为紧急情况下的“万能供血者”。
2.患者男,60岁,多年糖尿病和高血压史,实验室:随机尿蛋白(+),红细胞(3~5)/HP,尿微量白蛋向103.2mg/L。下列叙述正确的是( )。
A.尿试纸条对白蛋白和球蛋白一样敏感
B.尿试纸条只对白蛋白敏感
C.尿试纸条只对球蛋白敏感
D.微量白蛋白属于非选择性蛋白尿
E.微量白蛋白属于大分子蛋白
【答案】B
【解析】
尿试纸条只对白蛋白敏感,对球蛋白不敏感。微量白蛋白属于中小分子量蛋白,属于选择性蛋白尿。
3.患者女,29岁,发热1周,食欲不振、乏力,腹胀,腹泻,脾大。外周血白细胞偏低,起病后曾服用退热药及磺胺药,发热仍不退,临床怀疑为伤寒病,为进一步确诊,可进行的血清学检查是( )。
A.肥达试验
B.血培养
C.尿培养
D.骨髓培养
E.粪便培养
【答案】A
【解析】
肥达试验是用已知的伤寒沙门菌O、H抗原,副伤寒甲、乙H抗原稀释后与被检血清作定量凝集试验,以检测患者血清中抗体的含量,来判断机体是否受沙门菌感染而导致肠热证并判别沙门菌的种类。
4.患者男,62岁。头晕乏力半年伴牙龈出血1个月。查体:贫血外观,肝、脾肋下可触及。实验室检查:RBC3.8×1012/L,HB77g/L,MCV和MCHC正常,WBC3.4×109/L,PLT65×109/L,血涂片可见幼红细胞。最可能的诊断为( )。
A.铁粒幼细胞贫血
B.营养不良性贫血
C.脾功能亢进
D.再生障碍性贫血
E.MDS
【答案】E
【解析】
本例患者肝脾大伴全血细胞减少,最可能是MDS,若想作出诊断还应做骨髓检查等,因血象可见幼红细胞,故不支持再障和脾功能亢进,因MCV正常,也不支持营养不良性贫血和缺铁性贫血,而且缺铁性贫血很少有全血细胞减少。
5.患者女,43岁,体检中发现乳腺肿块,单发,质硬,边缘不规则。为明确诊断,应优先检查( )。
A.CA50
B.CA125
C.CA153
D.CA199
E.CA242
【答案】C
【解析】
CA153是一种乳腺癌相关抗原,对乳腺癌的诊断和术后随访有一定的价值。
6.患者男,54岁,慢性乙肝病史25年。查ALP、GGT显著升高,为明确是否有肝纤维化/肝硬化,可选择的检查组合是( )。
A.前白蛋白、胆汁酸、总胆红素、肝炎全套
B.总蛋白,白蛋白,A/G,ALT
C.MAO,Ⅲ型前胶原,Ⅳ型胶原,层粘连蛋白、透明质酸
D.AFP、LDH、ALT、AST
E.ALT、AST、TBIL、肝炎全套
【答案】C
【解析】
MAO,Ⅲ型前胶原,Ⅳ型胶原,层粘连蛋白、透明质酸是肝纤维化的指标,对肝纤维化、肝硬化的诊断具有重要价值。
7.患者女,30岁,下腹部疼痛4天,左下腹部有中度痉挛性疼痛,阴道有大量黄色、无气味的分泌物。1周前曾做过经阴道的结扎手术,行阴道后穹窿穿刺术,采集20mL带血,恶臭的脓性液体,常规细菌培养无生长。进一步微生物检查首选( )。
A.厌氧菌培养
B.细菌L型培养
C.支原体培养
D.病毒培养
E.结核菌培养
【答案】A
【解析】
局部有“带血,恶臭的脓性液体”,结合患者术后,可能为伤口深部厌氧菌感染所致,常规培养无法培养出厌氧菌,应选厌氧培养。
8.患者女,26岁。关节肿痛1年,加重1个月。双反应类型是手指关节屈曲畸形,HLA-B27DNA阴性,抗CCP抗体阳性,导致关节肿痛的超敏反应为( )。
A.Ⅰ型超敏反应
B.Ⅱ型超敏反应
C.Ⅲ型超敏反应
D.Ⅳ型超敏反应
E.其他类型的超敏反应
【答案】C
【解析】
抗环瓜氨酸肽抗体是风湿自身抗体系统的一种,类风湿关节炎(RA)具有高特异性的瓜氨酸相关自身抗体系统包括AKA、APF、AFA、抗CCP抗体,这些抗体对早期RA诊断具有较好的特异性。RA是Ⅲ型超敏反应。
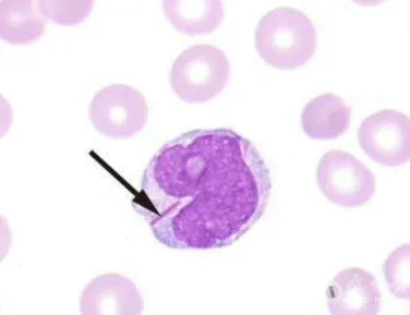
9.患者男,35岁。发热、口腔黏膜溃疡反复发作,抗炎治疗无效,胸骨压痛。瑞氏染色的外周血涂片中,发现白细胞胞质中出现的紫红色细杆状物质,如图所示,箭头所指的物质为( )。
A.卡波环
B.杜勒体
C.空泡变形
D.棒状小体
E.豪焦小体

【答案】D
【解析】
棒状小体是在瑞氏或吉姆萨染色的血涂片中,白细胞浆中出现紫红色细杆状物质。长约1~6μm,1条或数条不定。棒状小体在急性粒细胞性白血病的幼稚粒细胞浆中较为多见,呈粗短棒状,常见为1~2条:在颗粒增多的早幼粒细胞性白血病(M3型)中则可见数条至数十条,有些呈束状;急性淋巴细胞性白血病中则不出现棒状小体。故棒状小体对急性白血病的诊断,以及白血病细胞类型的鉴别有一定的参考价值。
10.疟原虫在人体红细胞内增殖期是主要致病阶段,在寒热发作时的血片中,可见各种形态的疟原虫,胞质少,中间有空泡,胞质被挤向一边呈环状,核位于一侧,形似指环。该阶段为疟原虫的( )。
A.孢子体
B.配子体
C.裂殖体
D.早期滋养体
E.晚期滋养体
【答案】D
【解析】
滋养体为疟原虫在红细胞内摄食和生长、发育的阶段。按发育先后,滋养体有早、晚期之分。早期滋养体胞核小,胞质少,中间有空泡,虫体多呈环状,故又称之为环状体。以后虫体长大,胞核亦增大,胞质增多,有时伸出伪足,胞质中开始出现疟色素,此时称为晚期滋养体,亦称大滋养体。