
【检验考点】20道医学检验中级真题(含答案+解析)
1、骨髓增生异常综合征的分类将哪类归为急性白血病
A RAS
B RAEB-T
C CMML
D RA
E RAEB
✅ 正确答案:B
💡 核心解析:RAEB-T为向急性白血病的转化期,可归类为急性白血病,老知识点。
2、患者,男,50岁,身高170cm。体重75kg,正常体检抽血。标本离心后上层混浊,下层透明,该患者可能升高的是
A CM
B LDL
C VLDL
D IDL
E HDL
✅ 正确答案:A
💡 核心解析:乳糜微粒增多时可上浮成盖,上层浑浊,下层透明。
3、患者女,30岁,血常规检查结果,血红蛋白91g/L。红细胞3.9×10^12/L,MCV78fl,HCT27.4,MCHC340g/L,问患者的红细胞改变是下列哪一种
A 单纯小细胞改变
B 小细胞低色素改变
C 巨幼样改变
D 形状正常
E 大小一致
✅ 正确答案:A
💡 核心解析:本题目主要考查红细胞相关参数的参考值。MCV<80fl,细胞体积减小;MCHC>320g/L,色素正常。所以单纯小细胞改变。
4、用杂交瘤技术制备单克隆抗体的过程中,可在培养基中长期存活的是
A 瘤-瘤融合细胞
B 脾-脾融合细胞
C 脾-瘤融合细胞
D 单倍体细胞
E 细胞多聚体
✅ 正确答案:C
💡 核心解析:杂交瘤技术的原理是利用聚乙二醇(PEG)为细胞融合剂,使免疫的小鼠脾细胞与具有体外长期繁殖能力的小鼠骨髓瘤细胞融为一体,成为杂交瘤细胞,在HAT选择性培养基的作用下,只让融合成功的杂交瘤细胞生长。
5、与显微镜检查法比较,全自动尿液有形成分分析仪的优点是
A 假阳性率低。
B 能鉴别异常细胞。
C 不受细菌,酵母菌的干扰。
D 重复性好,互染率低。
E 能明确病理管型。
✅ 正确答案:D
💡 核心解析:具有快速、准确性高、重复性好、生物污染少的优点,但由于尿液标本有形成分的复杂性、不稳定性,尿液有形成分分析仪检测原理的局限性,使得检测结果容易受到一些因素的干扰。
6、正常尿中所含微量蛋白质主要是
A 球蛋白
B 脂蛋白
C 糖蛋白
D γ-球蛋白
E 清蛋白
✅ 正确答案:E
💡 核心解析:正常人的尿液中存在一定量的蛋白质,也就是微量蛋白尿,主要是清蛋白。正常微量白蛋白的上限是30mg/L,所以如果超过了这个值的上限,也就是大于30mg/L就称为微量白蛋白尿。
7、患者男,47岁,因尿毒症晚期进行了肾移植。以下与移植排斥反应无明显关系的HLA位点是
A HLA-DR
B HLA-A
C HLA-B
D HLA-C
E HLA-DQ
✅ 正确答案:D
💡 核心解析:HLA-DR座位对移植排斥最为重要。其次为HLA-A、HLA-B、HLA-DQ和HLA-DP。HLA-C与移植排斥反应无明显关系。
8、胞浆中CK的同工酶有几种
A 2种
B 3种
C 4种
D 5种
E 6种
✅ 正确答案:B
💡 核心解析:细胞质内存在三种CK同工酶,即CK-BB、CK-MB、CK-MM。
9、慢性迁延型中耳炎的脓性分泌物,具有恶臭时,应采取下列哪种方法进行培养
A 需氧菌培养
B 厌氧菌培养
C 微需氧菌培养
D 需氧菌+厌氧菌培养
E CO2培养
✅ 正确答案:D
💡 核心解析:慢性迁延型中耳炎的脓性分泌物若伴有恶臭,通常提示厌氧菌感染的可能性较高(因其代谢产物如硫化物可产生臭味)。但慢性感染中,需氧菌(常见致病菌多为变形杆菌、铜绿假单胞菌、大肠杆菌、金黄色葡萄球菌等,需进行需氧菌+厌氧菌培养。
10、患者男,70岁,因结膜炎反复,取分泌物培养后见中大、深红色菌落,涂片可见革兰阴性杆菌,该患者可能感染
A 粪肠球菌
B 金黄色葡萄球菌
C 大肠埃希菌
D 深红沙雷菌
E 肺炎克雷伯菌
✅ 正确答案:D
💡 核心解析:深红沙雷菌在培养基上可产生红色色素(如灵菌红素),尤其在血平板或普通琼脂上呈现深红色菌落。
11、患者女,42岁,行肾移植术一周,尿沉渣镜检处可见红细胞满视野外,还见多量多边形上皮细胞。上皮细胞中可见小空泡,且分布不规则,有时可见脂肪细胞。此类细胞为
A 肾小管上皮细胞
B 小圆上皮细胞
C 鳞状上皮细胞
D 尾型上皮细胞
E 大圆上皮细胞
✅ 正确答案:A
💡 核心解析:肾小管上皮细胞/多边形细胞:来自肾小管远曲小管和近曲小管立方上皮脱落的细胞,其形态不一,且在尿液中容易出现空泡变性,有时可见脂肪变性。
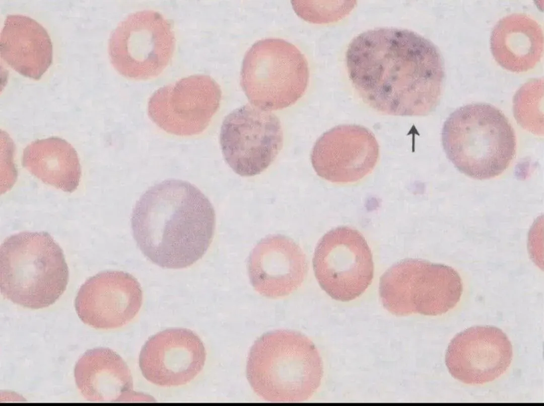
12、铅中毒时,外周血涂片如图所见,箭头指示的细胞为

A 嗜碱性点彩红细胞
B 淋巴细胞
C 小巨核细胞
D 原始淋巴细胞
E 异型淋巴细胞
✅ 正确答案:A
💡 核心解析:铅中毒时,红细胞胞质中可见大小不一、数量不等的蓝黑色颗粒,即嗜碱性点彩红细胞,是铅中毒的典型血象表现之一。
13、幽门螺旋杆菌与空肠弯曲菌比较最突出的特点是
A 革兰染色阴性。
B 微需养菌
C 营养要求高
D 运动活泼
E 产生大量脲酶
✅ 正确答案:E
💡 核心解析:氧化酶试验、触酶试验、DNA酶试验均阳性,其中快速脲酶试验强阳性是幽门螺旋杆菌的主要特点。
14、参与体液免疫应答的细胞是
A T细胞
B 单核细胞
C B细胞
D 肥大细胞
E 浆细胞
✅ 正确答案:C
💡 核心解析:体液免疫即以浆细胞产生抗体来达到保护目的的免疫机制。负责体液免疫的细胞是B细胞。
15、患者女,26岁,血常规检查发现红细胞体积分布宽度增大。如图所示,该患者的红细胞为

A 体积大小不均一
B 体积变小
C 结构异常
D 染色异常
E 体积增大
✅ 正确答案:A
💡 核心解析:红细胞体积分布宽度(RDW)增大,提示红细胞体积大小不均一,常见于缺铁性贫血、巨幼细胞性贫血等。
16、关于易栓症的描述正确的是
A 血栓都在老年时发生
B PS缺陷不属于易栓症
C 多出现多个凝固调节蛋白的分子结构缺陷
D 血栓形成或血栓不易自发,多有明确诱因
E 血栓与止血的检验结果对易栓症的诊断有决定作用
✅ 正确答案:E
💡 核心解析:临床上多以反复发作性静脉血栓为主要表现(也可有动脉血栓栓塞发生),发病年龄多在50岁以下,血栓形成或栓塞可以自发或诱发发生。其诱发因素常是妊娠、产后、手术、创伤和药物等。易栓症表现为参与凝血、抗凝、纤溶系统的单一或多个分子结构缺陷,血栓与止血的检验结果对易栓症的诊断有决定作用。
17、关于酮体的叙述正确的是
A 持续饥饿时生成减少。
B 肝内利用
C 肝外生成
D 脑和心肌可以依赖酮体氧化功能
E 正常生理情况下,人体可大量产生。
✅ 正确答案:D
💡 核心解析:酮体是脂酸在肝内正常的中间代谢产物,是肝输出能源的一种形式。酮体溶于水,分子小,能通过血脑屏障及肌肉的毛细血管壁,是肌肉尤其是脑组织的重要能源。在肝内产生、肝外利用,持续饥饿时生成增加,病理情况下才可大量产生。
18、若计数5个中方格中红细胞总数为350个,按法定单位,应报告为
A 350万/mm3
B 350万/µl
C 3.5x10^6/L
D 3.5x10^9/L
E 3.5x10^12/L
✅ 正确答案:E
💡 核心解析:计算公式为:红细胞/L = N×25/5×10×10^6×200 = N×10^10 = 3.5×10^12/L。
19、在某医院实验室,某检验技师在进行肥达反应时,将反应试管放在实验台上。过了一夜最后都是阴性结果。然后放在水浴箱中重新做一遍,水浴箱中反应,现个别试管内出现了阳性反应。出现这种情况最可能的原因是
A 试管儿没有处理好
B 反应试剂加错了
C 反应温度不适宜
D 反应湿度不适宜
E 待测血清为阴性
✅ 正确答案:C
💡 核心解析:水浴后温度提高,加快了反应速度,使原本因室温过低而未充分进行的抗原抗体反应得以显现。
20、患者男,31岁,结婚两年,妻子一直未孕。查体:生殖器双侧小睾丸。能正常性生活,无遗传病家族史和近婚史。中医中药治疗一年无改善,采用计算机辅助精子分析。下列不可检测的是
A 精子总数
B 活动力
C 运动速度和轨迹
D 活动率
E 精浆酸性磷酸酶
✅ 正确答案:E
💡 核心解析:CASA对精液既可定量分析精子总数、活动力、活动率,又可分析精子运动速度和运动轨迹特征,不包括精浆酸性磷酸酶。


关注我职称考试不迷路