
【检验考点】100道医学检验初级师真题(含答案+解析)
1、340nm波长属于
A 可见光
B 近红外光
C 远红外光
D 紫外光
E 红外光
✅ 正确答案:D
💡 核心解析:紫外光波长:400nm以下,可见光波长:400~760nm,红外光:>760nm。
2、关于淋巴结的叙述错误的是
A 分为皮质区和髓质区。
B 淋巴液运行中监测清除病原体异物的过滤监控站。
C 淋巴细胞发育的重要器官。
D 淋巴细胞栖息和增值的场所。
E 淋巴细胞增殖分化,发挥免疫应答的基地。
✅ 正确答案:C
💡 核心解析:淋巴细胞发育的重要器官为中枢免疫器官,为骨髓和胸腺。淋巴结为外周免疫器官,是淋巴细胞聚集增殖和免疫应答发生的场所。
3、分析纯试剂的标记是
A GR
B AR
C CP
D LR
E AAA
✅ 正确答案:B
💡 核心解析:优级纯符号(GR),分析纯符号(AR),化学纯符号(CP),实验试剂符号(LR)。
4、肾病综合症不会出现的是
A 水肿
B 低蛋白血症
C 高脂血症
D 血浆中各种凝血因子浓度均下降
E 大量蛋白尿
✅ 正确答案:D
💡 核心解析:临床症状包括大量的蛋白尿、低蛋白血症、高脂血症和水肿。临床特点三高一低,即大量蛋白尿(≥3.5/d)、水肿、高脂血症,血浆蛋白低(≤30g/L)。
5、镜下脓尿是指每高倍镜视野尿中白细胞数大于
A 1个
B 2个
C 3个
D 4个
E 5个
✅ 正确答案:E
💡 核心解析:三个概念:血尿又分为镜下和肉眼血尿,其中镜下血尿是尿经离心沉淀镜检时发现红细胞数大于3个/HP,肉眼血尿是当每升尿含血量达到或超过1ml。脓尿时可出现大量白细胞及成堆脓细胞,高倍镜下大于5个。
6、尽管病情危重,但患者本人坚决拒绝医生对其采取任何救治措施,医院的下列做法不妥当的是
A 强行对患者实施治疗措施。
B 向患者及其家属详细告知其病情及不治疗可能产生的严重后果。
C 做好详细的病例记录。
D 请精神科进行会诊,以确认当时患者的精神状态和行为能力。
E 向医院医疗管理部门负责人或授权负责人进行汇报。
✅ 正确答案:A
💡 核心解析:尊重患者的人格;尊重患者的隐私权;尊重患者的自主决定权:知情同意、知情选择。但患者自主决定权需要有一定自主能力,情绪必须正确稳定,病人清醒等条件。
7、胶体金标记免疫电镜技术中常用的酶是
A 辣根过氧化物酶
B 碱性磷酸酶
C β半乳糖苷酶
D 葡萄糖氧化酶
E 脲酶
✅ 正确答案:A
💡 核心解析:免疫电子显微镜(IEM)技术是利用高电子密度的颗粒性标志物(如胶体金、铁蛋白等)标记抗体,或用经免疫组织/细胞化学反应能产生高电子密度产物者如辣根过氧化物酶标记抗体,在电子显微镜下对抗原抗体反应中的高电子密度标记的抗原(抗体)进行亚细胞水平定位的技术。
8、医务工作者对待医疗卫生行业规章和纪律的态度是
A 听从上级医师的
B 从自己良心出发去做。
C 规规矩矩做人做事。
D 按照医院领导要求去做。
E 严格执行所在医疗机构各项制度规定。
✅ 正确答案:E
💡 核心解析:严格遵守规章制度是医务工作者必须履行的职业要求。
9、红丝带象征着人们对患有某种疾病病人的关心与支持,此病为
A 艾滋病
B 侏儒症
C 白血病
D 乳腺癌
E 白化病
✅ 正确答案:A
💡 核心解析:红丝带是国际公认的艾滋病防治标志,代表对艾滋病病毒感染者和患者的关心、理解及支持,呼吁消除歧视并传递友爱。
10、以下行为符合医疗机构从业人员廉洁自律,恪守医德的基本准则的是
A 新员工入职竞聘收取评审费。
B 院际间会诊,收取劳务报酬。
C 院内继续教育讲座,收取劳务费。
D 院内会诊,收取劳务报酬。
E 所在科室设备招标收取专家劳务费。
✅ 正确答案:B
💡 核心解析:“廉洁自律,恪守医德”指的是:不索取和非法收受患者财物,不利用执业之便谋取不正当利益;不收受医疗器械、药品、试剂等生产、经营企业或人员以各种名义、形式给予的回扣、提成,院际间会诊收取合理劳务报酬符合规定。
11、未经患者同意,公开其病历资料,侵犯患者的权利是?
A 健康权
B 身体权
C 知情同意权
D 隐私权
E 生命权
✅ 正确答案:D
💡 核心解析:隐私权是公民享有的私人生活安宁与个人信息依法受保护的权利,包括对病历等敏感信息的保密性要求。病历资料涉及个人健康信息,属于法律明确保护的隐私范畴。
12、以下细菌中对外界理化因素抵抗力最强的是
A 肺炎链球菌
B 淋病奈瑟菌
C 流感嗜血杆菌
D 金黄色葡萄球菌
E 脑膜炎奈瑟菌
✅ 正确答案:D
💡 核心解析:金黄色葡萄球菌是无芽孢细菌中对外界理化因素抵抗力最强的。
13、患者女,42岁,演员,近日在美国密西西比州西部山区拍节目。突发高热4天,在小木屋休息。可能感染下列哪种病原体
A 支原体
B 疏螺旋体
C 衣原体
D 空肠弯曲菌
E 立克次体
✅ 正确答案:E
💡 核心解析:关键词:高热、森林生活史。立克次体感染属于自然疫源性疾病,由蜱叮咬传播,会出现持续高热症状。
14、可经细胞被动转移的超敏反应是
A Ⅰ型超敏反应
B Ⅱ型超敏反应
C Ⅲ型超敏反应
D Ⅳ型超敏反应
E 各型超敏反应均可以
✅ 正确答案:D
💡 核心解析:I~III型由抗体介导,可经血清被动转移。而IV型由T细胞介导,反应发生较慢,故称迟发型超敏反应,可经细胞被动转移。
15、女性,45岁,诊断为子宫肌瘤,缺铁性贫血。给予铁剂治疗后Hb上升至130g/L,为保证机体有足够的储存铁,需继续铁剂治疗。期间需选择下列哪项指标监测体内储存铁的变化
A 血清铁
B 转铁蛋白
C 可溶性转铁蛋白受体
D 铁蛋白
E 总铁结合力
✅ 正确答案:D
💡 核心解析:体内储存铁主要以铁蛋白和含铁血黄素两种形式存在,铁蛋白是监测储存铁最敏感的指标。
16、确定测量结果区间的量,合理赋予被测量之值分布在指定概率内含于此区间,被称为
A 标准不确定度
B 合成不确定度
C 扩展不确定度
D 测量不确定度
E A类标准不确定度
✅ 正确答案:C
💡 核心解析:扩展不确定度,有时也被称为范围不确定度,题干描述为其标准定义。
17、受体菌和供体菌直接接触供体菌,通过性菌毛将带有F质粒或类似的遗传物质传递给受体菌这个过程称
A 原生质体融合
B 转化
C 溶原性转换
D 转导
E 接合
✅ 正确答案:E
💡 核心解析:转化是受体菌直接摄取游离DNA;转导以噬菌体为媒介;接合是供体菌通过性菌毛将遗传物质传递给受体菌。
18、胰岛素对糖代谢的作用不包括
A 抑制LPL,从而抑制外源性TG的水解
B 促进葡萄糖磷酸化和氧化分解
C 激活糖原合成酶和丙酮酸脱氢酶系,促进葡萄糖合成糖原,蛋白质和脂肪
D 抑制磷酸化和糖异生关键酶而使糖异生减少
E 细胞对葡萄糖摄取增加
✅ 正确答案:A
💡 核心解析:胰岛素可激活LPL促进TG水解,其余选项均为胰岛素对糖代谢的正确作用。
19、原尿成分和血浆相比不同的是
A 尿素含量
B 钾含量
C 钠含量
D 蛋白质含量
E 葡萄糖含量
✅ 正确答案:D
💡 核心解析:原尿成分和血浆的主要区别在于原尿中不含大分子蛋白质,其余成分含量相近。
20、用血液分析仪电阻抗法进行血细胞计数时,下列细胞的参数与产生的脉冲信号高低成正比的是
A 血细胞核的大小
B 血细胞的比密
C 血细胞体积的大小
D 血细胞在计数孔移动的速度
E 通过计数孔血细胞的数量
✅ 正确答案:C
💡 核心解析:在电阻抗型血液分析仪中,血细胞的体积大小与产生的脉冲信号高低成正比。
21、霍奇金病患者最常见的首发症状是
A 持续性或周期性发热
B 白血病性改变
C 肝、脾大
D 皮肤瘙痒
E 颈部和锁骨上淋巴结肿大
✅ 正确答案:E
💡 核心解析:淋巴结肿大是恶性淋巴瘤最常见、最典型的临床症状,霍奇金病大多首先侵犯浅表淋巴结,以颈部、锁骨上、腋下淋巴结多见。
22、不参与抗肿瘤的细胞免疫的细胞是
A NK细胞
B 吞噬细胞
C B细胞
D 树突状细胞
E T细胞
✅ 正确答案:C
💡 核心解析:细胞免疫机制在机体抗肿瘤效应中发挥重要作用,参与抗肿瘤免疫的细胞包括T细胞、NK细胞、巨噬细胞、树突状细胞。B细胞受抗原刺激后可分化为产生抗体的浆细胞,执行体液免疫功能。
23、具有明显加强AT-III的抗凝作用的是
A 凝血酶
B 纤溶酶
C 肝素
D PC
E HC-II
✅ 正确答案:C
💡 核心解析:肝素的阴离子活性基团与抗凝血酶III(AT-III)的阳离子基团结合,加速抗凝血酶-凝血酶复合体形成,因此产生抗凝效应。
24、细菌侵入血液中大量生长繁殖引起严重的全身中毒的症状称为
A 病毒血症
B 菌血症
C 坏血症
D 败血症
E 毒血症
✅ 正确答案:D
💡 核心解析:病原体入血导致的5种全身症状历年必考。按感染部位及性质可分为局部感染和全身感染。全身感染可分为:①菌血症,病原菌由原发部位一时性或间歇性侵入血流,不在血中繁殖。②败血症,病原菌不断侵入血流,在其中大量繁殖并产生毒素,引起严重的全身中毒症状。
25、半抗原是指
A 既有免疫原性,又有反应原性
B 仅有免疫原性,没有反应原性
C 仅有反应原性,没有免疫原性
D 既没有免疫原性,也没有反应原性
E 仅有部分免疫原性和反应原性
✅ 正确答案:C
💡 核心解析:只具有抗原性而无免疫原性的物质称为半抗原,一般是分子质量<4000的有机物质,如寡肽、寡糖和多糖、类脂质、核苷、甾族激素、某些小分子量的药物等。半抗原与蛋白质载体或高分子聚合物结合后才有免疫原性。
26、FITC的最大吸收光谱和最大发射光谱为
A 490~495nm、520~530nm
B 390~395nm、520~530nm
C 590~595nm、520~530nm
D 490~495nm、620-630nm
E 390~395nm、620~630nm
✅ 正确答案:A
💡 核心解析:异硫氰酸荧光素(FITC)最大吸收光波长为490~495nm,最大发射光波长520~530nm,呈现明亮的黄绿色荧光。
27、严重感染的患者白细胞通常
A 减低或显著增高
B 正常
C 增高
D 显著减低
E 显著增高
✅ 正确答案:E
💡 核心解析:严重感染(如菌血症、败血症、脓毒血症),会刺激骨髓释放大量白细胞,导致外周血白细胞总数显著增高,白细胞可达(20~30)×10^9/L,中性粒细胞百分率明显增高,并伴明显核左移和中毒改变。
28、局部轻度感染的患者白细胞通常
A 减低或显著增高
B 正常
C 增高
D 显著减低
E 显著增高
✅ 正确答案:B
💡 核心解析:轻度感染时,白细胞总数通常维持正常范围,但中性粒细胞比例可能略有升高。例如,化脓性链球菌等局部细菌感染初期,白细胞总数可能未明显变化,但中性粒细胞比例已开始上升。
29、极严重感染的患者白细胞通常
A 减低或显著增高
B 正常
C 增高
D 显著减低
E 显著增高
✅ 正确答案:A
💡 核心解析:①轻度感染:白细胞可正常,中性粒细胞增多;②中度感染:白细胞增多,中性粒细胞增多;③重度感染:白细胞显著增多,中性粒细胞增多;④极重度感染:严重感染时若机体反应性好,白细胞常显著增多;如感染引起中毒性休克或机体反应性较差时白细胞可不增高反而减低,并出现核左移、中毒颗粒等。
30、由甲状旁腺细胞合成,分泌,主要功能是降低血钙和血磷的是
A 甲状旁腺素
B 甲状腺激素
C 降钙素
D 促甲状腺素释放激素
E 维生素D
✅ 正确答案:C
💡 核心解析:降钙素由甲状腺C细胞(滤泡旁细胞)分泌,功能为降低血钙和血磷(抑制破骨细胞活动、促进钙磷排泄)。
31、维持血钙正常水平的重要调节因素,有升高血钙、降低血磷、酸化血液的作用的是
A 甲状旁腺素
B 甲状腺激素
C 降钙素
D 促甲状腺素释放激素
E 维生素D
✅ 正确答案:A
💡 核心解析:甲状旁腺素(PTH)由甲状旁腺分泌,主要作用是升高血钙(促进骨钙释放、肾钙重吸收)和降低血磷(抑制肾磷重吸收)。
32、患者男,24岁,因车祸伤来急诊就诊,血红蛋白浓度为45g/L,急需输血,关于ABO天然抗体下列说法正确的是
A 分子量160kda
B 不能通过胎盘
C 70℃耐热稳定
D 不能被血型物质中和
E 与红细胞结合最适温度为37℃
✅ 正确答案:B
💡 核心解析:ABO天然抗体属于IgM型抗体,相对分子质量1000kda,为五聚体,称为巨球蛋白。由于分子量较大,不可通过胎盘屏障。在70℃被破坏,可与血型物质发生中和反应。
33、患者女,26岁,近半年来反复发热,近来发现面部有红斑、光敏感,多关节痛,抗ANA抗体阳性,该患者可诊断为
A 肾炎
B 系统性红斑狼疮
C 猩红热
D 类风湿关节炎
E 皮肤荨麻疹
✅ 正确答案:B
💡 核心解析:本题目是关于SLE(系统性红斑狼疮)的考察。SLE是一种多发于青年女性的累及多脏器的自身免疫性炎症性结缔组织病,可侵犯全身各个器官,比如典型表现:“脸部蝶形红斑”。
34、患者女,16岁,月经增多4个月,伴头晕、乏力,耳鸣,眼花,检查:面色苍白,血涂片改变如图所示,该患者贫血的类型为

A 大细胞性贫血
B 小细胞低色素性贫血
C 正细胞正色素性贫血
D 大细胞高色素性贫血
E 单纯小细胞性贫血
✅ 正确答案:B
💡 核心解析:患者月经增多,伴面色苍白、头晕乏力等贫血表现,血涂片可见红细胞体积小、中心淡染区扩大,符合小细胞低色素性贫血(如缺铁性贫血)的特征。
35、红骨髓是指
A 仅存在于老年人的骨髓
B 出生后骨髓
C 有活跃造血功能的骨髓
D 成年后有疾病时的骨髓
E 胚胎期骨髓
✅ 正确答案:C
💡 核心解析:红骨髓:是有活跃造血功能的骨髓。从出生至4岁,全身骨骼的髓腔内均为红骨髓。5岁后随着年龄的增长,红骨髓脂肪化由远心端向近心端发展。至18岁时,红骨髓仅存在于扁平骨、短骨及长管状骨的近心端,如颅骨、胸骨、脊椎骨、肋骨、髂骨以及肱骨和股骨的近心端。
36、患儿,男性,10岁,面色苍白,贫血、乏力。肝、脾肿大,血红蛋白70g/L,血片见正常和低色素红细胞及少数中、晚幼粒细胞,红细胞渗透脆性减低,骨髓环状铁粒幼红细胞达45%,其诊断可能为
A 铁粒幼红细胞性贫血
B 缺铁性贫血
C 溶血性贫血
D 地中海贫血
E 巨幼红细胞性贫血
✅ 正确答案:A
💡 核心解析:环形铁粒幼细胞,此种细胞常占幼红细胞15%以上是本病特征和重要诊断依据。
37、粪便中出现巨噬细胞常见于
A 细菌性痢疾
B 阿米巴痢疾
C 结肠癌
D 婴儿消化不良
E 胃溃疡出血
✅ 正确答案:A
💡 核心解析:细菌性痢疾患者粪便以脓及黏液为主,脓中带血可作为诊断急性细菌性痢疾的依据。
38、下列不属于临床实验室的是
A 采供血机构的实验室
B 门诊部的实验室
C 妇幼保健院的实验室
D 医院内的检验科
E 医学院的生理学实验室
✅ 正确答案:E
💡 核心解析:临床实验室是指以提供人类疾病诊断、管理、疗或健康评估的相关信息为目的,对来自人体的材料进行生物学微生物学、免疫学、化学疫学、血液学、生物物理学、细胞学、病理学、遗传学或其他检验的实验室。不包括法医检验实验室和其结果不用干临床诊治的医学科研实验室。
39、患者女,83岁,肝癌晚期患者突发高热。血培养报告耐碳青霉烯大肠埃希菌,问用什么药
A 美罗培南
B 青霉素
C 万古霉素
D 替加环素
E 氨苄西林
✅ 正确答案:D
💡 核心解析:替加环素可用于确诊或高度怀疑CRE(产碳青霉烯酶的肠道杆菌科细菌)致的医院获得性肺炎(HAP)包括呼吸机相关性肺炎(VAP),皮肤软组织感染和腹腔感染。A选项为碳青霉烯类药物,对CRE无效,BE选项大肠埃希菌普遍耐药,C选项万古霉素对革兰阴性菌无效。
40、属于本身无免疫原性的佐剂是
A 细胞因子
B 百日咳杆菌
C 酰二肽
D 卡介苗
E 氢氧化铝
✅ 正确答案:E
💡 核心解析:氧化铝、明矾、矿物油、吐温-80属于无机类非免疫原性佐剂,通过吸附抗原增强免疫应答。
41、骨髓增生异常综合征的分类将哪类归为急性白血病
A RAS
B RAEB-T
C CMML
D RA
E RAEB
✅ 正确答案:B
💡 核心解析:RAEB-T为向急性白血病的转化期,可归类为急性白血病,老知识点。
42、患者,男,50岁,身高170cm。体重75kg,正常体检抽血。标本离心后上层混浊,下层透明,该患者可能升高的是
A CM
B LDL
C VLDL
D IDL
E HDL
✅ 正确答案:A
💡 核心解析:乳糜微粒增多时可上浮成盖,上层浑浊,下层透明。
43、患者女,30岁,血常规检查结果,血红蛋白91g/L。红细胞3.9×10^12/L,MCV78fl,HCT27.4,MCHC340g/L,问患者的红细胞改变是下列哪一种
A 单纯小细胞改变
B 小细胞低色素改变
C 巨幼样改变
D 形状正常
E 大小一致
✅ 正确答案:A
💡 核心解析:本题目主要考查红细胞相关参数的参考值。MCV<80fl,细胞体积减小;MCHC>320g/L,色素正常。所以单纯小细胞改变。
44、用杂交瘤技术制备单克隆抗体的过程中,可在培养基中长期存活的是
A 瘤-瘤融合细胞
B 脾-脾融合细胞
C 脾-瘤融合细胞
D 单倍体细胞
E 细胞多聚体
✅ 正确答案:C
💡 核心解析:杂交瘤技术的原理是利用聚乙二醇(PEG)为细胞融合剂,使免疫的小鼠脾细胞与具有体外长期繁殖能力的小鼠骨髓瘤细胞融为一体,成为杂交瘤细胞,在HAT选择性培养基的作用下,只让融合成功的杂交瘤细胞生长。
45、与显微镜检查法比较,全自动尿液有形成分分析仪的优点是
A 假阳性率低。
B 能鉴别异常细胞。
C 不受细菌,酵母菌的干扰。
D 重复性好,互染率低。
E 能明确病理管型。
✅ 正确答案:D
💡 核心解析:具有快速、准确性高、重复性好、生物污染少的优点,但由于尿液标本有形成分的复杂性、不稳定性,尿液有形成分分析仪检测原理的局限性,使得检测结果容易受到一些因素的干扰。
46、正常尿中所含微量蛋白质主要是
A 球蛋白
B 脂蛋白
C 糖蛋白
D γ-球蛋白
E 清蛋白
✅ 正确答案:E
💡 核心解析:正常人的尿液中存在一定量的蛋白质,也就是微量蛋白尿,主要是清蛋白。正常微量白蛋白的上限是30mg/L,所以如果超过了这个值的上限,也就是大于30mg/L就称为微量白蛋白尿。
47、患者男,47岁,因尿毒症晚期进行了肾移植。以下与移植排斥反应无明显关系的HLA位点是
A HLA-DR
B HLA-A
C HLA-B
D HLA-C
E HLA-DQ
✅ 正确答案:D
💡 核心解析:HLA-DR座位对移植排斥最为重要。其次为HLA-A、HLA-B、HLA-DQ和HLA-DP。HLA-C与移植排斥反应无明显关系。
48、胞浆中CK的同工酶有几种
A 2种
B 3种
C 4种
D 5种
E 6种
✅ 正确答案:B
💡 核心解析:细胞质内存在三种CK同工酶,即CK-BB、CK-MB、CK-MM。
49、慢性迁延型中耳炎的脓性分泌物,具有恶臭时,应采取下列哪种方法进行培养
A 需氧菌培养
B 厌氧菌培养
C 微需氧菌培养
D 需氧菌+厌氧菌培养
E CO2培养
✅ 正确答案:D
💡 核心解析:慢性迁延型中耳炎的脓性分泌物若伴有恶臭,通常提示厌氧菌感染的可能性较高(因其代谢产物如硫化物可产生臭味)。但慢性感染中,需氧菌(常见致病菌多为变形杆菌、铜绿假单胞菌、大肠杆菌、金黄色葡萄球菌等,需进行需氧菌+厌氧菌培养。
50、患者男,70岁,因结膜炎反复,取分泌物培养后见中大、深红色菌落,涂片可见革兰阴性杆菌,该患者可能感染
A 粪肠球菌
B 金黄色葡萄球菌
C 大肠埃希菌
D 深红沙雷菌
E 肺炎克雷伯菌
✅ 正确答案:D
💡 核心解析:深红沙雷菌在培养基上可产生红色色素(如灵菌红素),尤其在血平板或普通琼脂上呈现深红色菌落。
51、患者女,42岁,行肾移植术一周,尿沉渣镜检处可见红细胞满视野外,还见多量多边形上皮细胞。上皮细胞中可见小空泡,且分布不规则,有时可见脂肪细胞。此类细胞为
A 肾小管上皮细胞
B 小圆上皮细胞
C 鳞状上皮细胞
D 尾型上皮细胞
E 大圆上皮细胞
✅ 正确答案:A
💡 核心解析:肾小管上皮细胞/多边形细胞:来自肾小管远曲小管和近曲小管立方上皮脱落的细胞,其形态不一,且在尿液中容易出现空泡变性,有时可见脂肪变性。
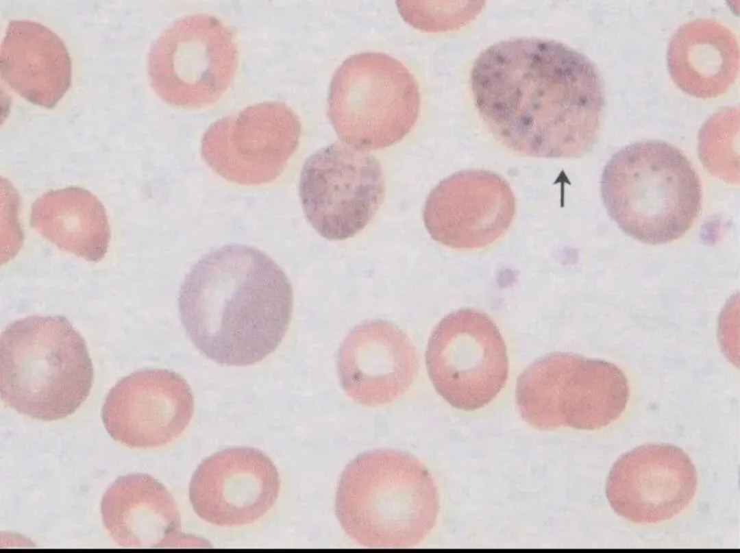
52、铅中毒时,外周血涂片如图所见,箭头指示的细胞为

A 嗜碱性点彩红细胞
B 淋巴细胞
C 小巨核细胞
D 原始淋巴细胞
E 异型淋巴细胞
✅ 正确答案:A
💡 核心解析:铅中毒时,红细胞胞质中可见大小不一、数量不等的蓝黑色颗粒,即嗜碱性点彩红细胞,是铅中毒的典型血象表现之一。
53、幽门螺旋杆菌与空肠弯曲菌比较最突出的特点是
A 革兰染色阴性。
B 微需养菌
C 营养要求高
D 运动活泼
E 产生大量脲酶
✅ 正确答案:E
💡 核心解析:氧化酶试验、触酶试验、DNA酶试验均阳性,其中快速脲酶试验强阳性是幽门螺旋杆菌的主要特点。
54、参与体液免疫应答的细胞是
A T细胞
B 单核细胞
C B细胞
D 肥大细胞
E 浆细胞
✅ 正确答案:C
💡 核心解析:体液免疫即以浆细胞产生抗体来达到保护目的的免疫机制。负责体液免疫的细胞是B细胞。
55、患者女,26岁,血常规检查发现红细胞体积分布宽度增大。如图所示,该患者的红细胞为

A 体积大小不均一
B 体积变小
C 结构异常
D 染色异常
E 体积增大
✅ 正确答案:A
💡 核心解析:红细胞体积分布宽度(RDW)增大,提示红细胞体积大小不均一,常见于缺铁性贫血、巨幼细胞性贫血等。
56、关于易栓症的描述正确的是
A 血栓都在老年时发生
B PS缺陷不属于易栓症
C 多出现多个凝固调节蛋白的分子结构缺陷
D 血栓形成或血栓不易自发,多有明确诱因
E 血栓与止血的检验结果对易栓症的诊断有决定作用
✅ 正确答案:E
💡 核心解析:临床上多以反复发作性静脉血栓为主要表现(也可有动脉血栓栓塞发生),发病年龄多在50岁以下,血栓形成或栓塞可以自发或诱发发生。其诱发因素常是妊娠、产后、手术、创伤和药物等。易栓症表现为参与凝血、抗凝、纤溶系统的单一或多个分子结构缺陷,血栓与止血的检验结果对易栓症的诊断有决定作用。
57、关于酮体的叙述正确的是
A 持续饥饿时生成减少。
B 肝内利用
C 肝外生成
D 脑和心肌可以依赖酮体氧化功能
E 正常生理情况下,人体可大量产生。
✅ 正确答案:D
💡 核心解析:酮体是脂酸在肝内正常的中间代谢产物,是肝输出能源的一种形式。酮体溶于水,分子小,能通过血脑屏障及肌肉的毛细血管壁,是肌肉尤其是脑组织的重要能源。在肝内产生、肝外利用,持续饥饿时生成增加,病理情况下才可大量产生。
58、若计数5个中方格中红细胞总数为350个,按法定单位,应报告为
A 350万/mm3
B 350万/µl
C 3.5x10^6/L
D 3.5x10^9/L
E 3.5x10^12/L
✅ 正确答案:E
💡 核心解析:计算公式为:红细胞/L = N×25/5×10×10^6×200 = N×10^10 = N/100×10^12。代入N=350,可得3.5×10^12/L。
59、在某医院实验室,某检验技师在进行肥达反应时,将反应试管放在实验台上。过了一夜最后都是阴性结果。然后放在水浴箱中重新做一遍,水浴箱中反应,现个别试管内出现了阳性反应。出现这种情况最可能的原因是
A 试管儿没有处理好
B 反应试剂加错了
C 反应温度不适宜
D 反应湿度不适宜
E 待测血清为阴性
✅ 正确答案:C
💡 核心解析:水浴后温度提高,加快了反应速度,使原本因室温过低而未充分进行的抗原抗体反应得以显现。
60、患者男,31岁,结婚两年,妻子一直未孕。查体:生殖器双侧小睾丸。能正常性生活,无遗传病家族史和近婚史。中医中药治疗一年无改善,采用计算机辅助精子分析。下列不可检测的是
A 精子总数
B 活动力
C 运动速度和轨迹
D 活动率
E 精浆酸性磷酸酶
✅ 正确答案:E
💡 核心解析:CASA对精液既可定量分析精子总数、活动力、活动率,又可分析精子运动速度和运动轨迹特征,不包括精浆酸性磷酸酶。
61、患者女,36岁,乏力,面色苍白半个月,半个月来无原因进行性面色苍白、乏力,稍动则心慌、气短,尿色如浓茶。查体:贫血貌,无皮疹和出血点。实验室检查:血Hb68g/L,WBC6.4×10^9/L,PLT140×10^9/L,网织红细胞18%,尿胆原强阳性,大便隐血(-),Coombs试验(+),此患者属于
A Ⅰ型超敏反应
B Ⅱ型超敏反应
C Ⅲ型超敏反应
D Ⅳ型超敏反应
E 不是超敏反应
✅ 正确答案:B
💡 核心解析:Coombs试验阳性提示自身免疫性溶血性贫血,属于Ⅱ型超敏反应(细胞毒型),由抗体直接攻击自身红细胞导致破坏。
62、患者女,24岁。近期经常流鼻涕、打喷嚏偶有呼吸困难,下列免疫球蛋白可能升高的是
A IgE
B IgM
C IgD
D IgG
E IgA
✅ 正确答案:A
💡 核心解析:过敏性鼻炎为Ⅰ型超敏反应,主要由IgE介导引起,因此IgE水平可能升高。
63、患者男,50岁。近一年头昏,乏力,活动后心慌、心急就诊。血液一般检查:红细胞数1.2×10^12/L,血红蛋白55g/L,白细胞数3.2×10^9/L,血小板65×10^9/L,网织红细胞12%,MCV128fl,MCH34pg,MCHC340g/L。可初步诊断为
A 缺铁性贫血
B 再生障碍性贫血
C 慢性失血性贫血
D 巨幼细胞性贫血
E 溶血性贫血
✅ 正确答案:D
💡 核心解析:MCV>100fl、MCH>34pg、MCHC320~360g/L,符合大细胞性贫血特征,结合网织红细胞升高,提示巨幼细胞性贫血(叶酸或维生素B12缺乏)。
64、下列引起感染的病原微生物可以在伤口脓液中找到黄、红、黑等色素粒的是
A 军团菌
B 星诺卡菌
C 肺炎衣原体
D 肺炎支原体
E 结核分枝杆菌
✅ 正确答案:B
💡 核心解析:星形诺卡菌属于放线菌,其感染伤口脓液中可产生水溶性或脂溶性色素,导致脓液呈现黄、红、黑等颜色。
65、关于大肠埃希菌的叙述不正确的是
A 在克氏双糖铁琼脂上斜面和底层均产酸产气
B 在伊红美蓝琼脂上由于发酵乳糖均落成蓝紫色,并有金属光泽
C 抗原仅由菌体抗原和鞭毛抗原构成
D 革兰阴性短杆菌有菌毛、荚膜及微荚膜
E 主要由侵袭力、内毒素、肠毒素等致病因素引起各种炎症
✅ 正确答案:C
💡 核心解析:大肠埃希菌的抗原主要是O(菌体)、H(鞭毛)、K(荚膜)抗原,C选项缺少了K抗原。
66、关于HIV检测质量保证的叙述不正确的是
A 分析前阶段质量保证
B 选择和采用可靠的检测方法及标准品的正确使用
C 定量项目可使用L-J质控图法,也可使用累计和及“即刻性”质控方法
D 定性项目测定只需要做阴、阳性对照质控
E 建立规范的管理程序和SOP及相关的质控体系和管理措施
✅ 正确答案:D
💡 核心解析:HIV检测的定性项目(如抗体检测)需遵循严格的质控要求。除阴、阳性对照外,还需引入外部质控品(如弱阳性样本)以监控检测系统的灵敏度和稳定性,仅依赖阴、阳性对照是不够的。
67、注射破伤风抗毒素属于
A 自动自然免疫
B 自动人工免疫
C 被动人工免疫
D 被动自然免疫
E 混合免疫
✅ 正确答案:C
💡 核心解析:被动人工免疫为采用人工方法向机体输入由他人或动物产生的免疫效应物,如免疫血清(如破伤风抗毒素)、淋巴因子等,使机体立即获得免疫力,达到防治某种疾病的目的。
68、尿液标本冷藏时间最多不超过
A 2h
B 3h
C 4h
D 5h
E 6h
✅ 正确答案:E
💡 核心解析:冷藏法:①多保存在2~8℃冰箱内,或保存于冰浴中,冷藏保存最多不超过6h。②低温可抑制微生物迅速生长,可保持尿中存在的有形成分形态基本不变。
69、AMI时最早升高的标志物是
A CK
B LD
C cTn
D CKMB
E Mb
✅ 正确答案:E
💡 核心解析:肌红蛋白(Mb)分子量小,主要位于胞质中,AMI时首先释放入血,0.5~2小时血中即可升高,是目前可测的最早心肌损伤标志物。
70、肾上腺皮质激素主要的代谢器官是
A 肝脏
B 皮肤
C 骨骼
D 血细胞
E 肾脏
✅ 正确答案:A
💡 核心解析:糖皮质激素(如皮质醇)的代谢主要在肝细胞中进行,代谢产物包括17-羟皮质类固醇(17-OHCS)和17-酮类固醇(17-KS)。
71、凝集反应的抗原必须是
A 完全抗原
B 可溶性抗原
C 可提取核抗原
D 颗粒性抗原或可溶性抗原吸附于载体颗粒
E 半抗原
✅ 正确答案:D
💡 核心解析:直接凝集反应采用颗粒性抗原,间接凝集反应采用将可溶性抗原吸附于载体颗粒上。
72、胰岛B细胞首先合成前胰岛素原,最终分泌入血的是
A C肽二聚体
B 胰岛素原
C 等分子胰岛素及C肽
D 胰岛素的a链及b链
E 胰岛素二聚体
✅ 正确答案:C
💡 核心解析:胰岛细胞首先合成前胰岛素原,而分泌入血的是胰岛素和等摩尔的C肽。
73、酪氨酸可合成的物质不包括
A 肾上腺素
B 去甲肾上腺素
C 甲状腺素
D 嘧啶
E 黑色素
✅ 正确答案:D
💡 核心解析:嘧啶环的元素来源于谷氨酰胺、二氧化碳和天冬氨酸,不包括酪氨酸。
74、关于POX和SBB染色的临床应用,正确的是
A SBB的特异性高于POX
B POX的敏感性高于SBB
C SBB染色必须用新鲜涂片
D 旧涂片不宜用POX染色
E POX染色阴性者,SBB染色必为阴性
✅ 正确答案:D
💡 核心解析:POX和SBB染色的意义相似。两者是同一类细胞化学染色,但POX的特异性高于SBB,而SBB的敏感性高于POX,SBB染色较烦琐,所以临床上首选POX,当POX阴性者可加做SBB,SBB染色可用陈旧的涂片,而POX染色要求新鲜涂片。
75、最适宜凝血试验的抗凝剂是
A 氟化钠
B 枸橼酸钠
C 肝素钠
D 草酸钠
E EDTA-NA2
✅ 正确答案:B
💡 核心解析:凝血所用的抗凝剂为枸橼酸钠,与血液比例为1:9。
76、临床上常见的Ⅳ型超敏反应性疾病不包括
A 接触性皮炎
B 过敏性休克样反应
C 青霉素油膏局部应用引致的过敏
D 移植排斥反应
E 传染性迟发型超敏反应
✅ 正确答案:B
💡 核心解析:接触性皮炎:某些过敏体质的人经皮肤接触某些化学制剂如染料、油漆、农药、二硝基氯/氟苯、化妆品等、某些药物如磺胺、青霉素等而致敏。而B项属于Ⅰ型超敏反应。
77、下列何种物质可激活补体旁路途径
A 病原微生物的细胞壁成分
B 与病原体结合的甘露糖结合凝集素
C IgG,IgM类抗体
D 结合抗原后的IgG,IgM类抗体
E 抗体
✅ 正确答案:A
💡 核心解析:替代途径(旁路途径)的激活物主要是细胞壁成分,如内毒素、某些蛋白水解酶、IgG4、IgA聚合物等。
78、外来化合物在体内变成另一种不同活性物质的化学过程称为
A 药物转变
B 药物吸收
C 药物转化
D 药物排泄
E 药物分布
✅ 正确答案:C
💡 核心解析:药物吸收是指药物从给药部位通过细胞膜进入循环系统的过程;药物分布是指药物进入血液循环后,通过各组织间的细胞膜屏障分布到各作用部位的过程;药物转化是指外来化合物在体内变为另一种不同活性物质的化学过程;药物排泄是指药物分子从组织反扩散到血液循环后,通过肾、肺、皮肤等排泄器官排出体外的过程。
79、关于异形间皮细胞和癌细胞的鉴别要点,错误的是
A 异形间皮细胞的核染色质正常染色
B 异形间皮细胞的核浆比例轻度异常
C 异形间皮细胞的核染色质增多
D 异形间皮细胞的染色质增加,但分布均匀
E 异形间皮细胞存在核轻度畸形
✅ 正确答案:B
💡 核心解析:异形细胞与癌细胞的鉴别点:异形间皮细胞胞质染色正常,核质比仍属正常范围;核染色质增加,仍为细颗粒状,分布均匀,核只有轻度畸形。
80、在补体的命名中,C3aC3b表示
A C3的亚单位
B C3补体的受体
C 发现该补体成分的先后顺序
D C3活化后的裂解片段
E 灭活的C3补体片段
✅ 正确答案:D
💡 核心解析:补体活化后的裂解片段以该成分的符号后加小写英文字母表示,通常a为小片段,b为大片断。
81、沙眼患者用过物品的消毒,下列哪种方法无效
A 冷冻
B 紫外线照射
C 煮沸
D 0.1%甲醛
E 2%来苏儿
✅ 正确答案:A
💡 核心解析:眼衣原体感染材料在35~37℃条件下,经48小时左右即失去活性。不耐热,加热50℃经30分钟或56~60℃10分钟可杀死,但耐寒,在冰冻条件下可存活数年。
82、患儿男,3岁。因“双下肢皮疹1天”入院,无腹痛、腹泻、腰痛、血尿,PLT210×10^9/L。PT和APTT正常,ESR13mm/h、补体、尿常规均正常,白细胞不高,该患者下一步应检查
A 凝血因子活性试验
B 纤溶试验
C 骨髓象检查
D 血小板功能试验
E 血管免疫荧光检查
✅ 正确答案:E
💡 核心解析:本例为过敏性紫癜,本症是一种变态反应性出血性疾病,主要是由于机体对某些致敏物质(过敏原)发生变态反应而引起。过敏性紫癜的诊断可通过血管免疫荧光检查发现血管壁IgA沉积。
83、某护士在工作中因操作错误,将血常规管中的血液倒入生化管内查离子,这样会影响患者以下哪项结果
A GLU
B Na+
C Cl-
D Urea
E Ca2+
✅ 正确答案:E
💡 核心解析:EDTA可以结合钙离子,所以答案E。
84、下列关于胆固醇合成的叙述,错误的是
A 合成的基本原料是乙酰COA
B 合成位置在胞浆和滑面内质网
C 合成的关键酶是HMGCOA还原酶
D 胰岛素能增加其活性,脂肪能诱导HMGCOA还原酶的生成
E 小肠是合成胆固醇最大的场所,其次是肝脏
✅ 正确答案:E
💡 核心解析:肝是合成胆固醇的主要场所,主要在胞液及内质网中进行,乙酰CoA是合成胆固醇的基本原料。
85、肝细胞性黄疸,检查结果应该是
A 尿胆原阴性,尿胆红素阳性
B 血中总胆红素正常
C 尿胆原和尿胆红素均阳性
D 尿胆原阳性,尿胆红素阴性
E 尿胆原和尿胆红素均阴性
✅ 正确答案:C
💡 核心解析:肝细胞性黄疸时,结合胆红素经病变的肝组织反流入血,血中结合胆红素增加,部分由肾排出体外;肝功能障碍处理尿胆原能力降低,致血中尿胆原增加,相应的由肾排出的尿胆原增加。
86、临床免疫测定分析技术中,灵敏度最低的是
A 酶联免疫吸附技术
B 微粒子化学发光分析技术
C 电化学发光免疫分析技术
D 化学发光免疫分析技术
E 化学发光酶免疫分析技术
✅ 正确答案:A
💡 核心解析:酶联免疫吸附技术灵敏度是μg。BCDE选项灵敏度可达ng。
87、临床上对人血清进行检测时,不会产生基质效应的是
A 制备质控品时加入无机化学品
B 制备质控品时加入防腐剂
C 使用动物血清制备质控品
D 制备质控品时加入有机化学品
E 使用人源血清制备质控品
✅ 正确答案:E
💡 核心解析:基质效应:是指检测系统在分析样品中的分析物时,处于分析物周围的基质对分析物测定结果的影响,称为基质效应。E项本身就是人身成分,不会产生基质效应。
88、关于正常粪便成分,错误的是
A 有肠道脱落上皮细胞
B 有极少量细菌
C 有高比例水分
D 有食物残渣
E 有消化道分泌物
✅ 正确答案:B
💡 核心解析:粪便固体成分包括:食物残渣、消化道分泌物、肠道脱落的上皮细胞、无机盐及大量的细菌等。成人粪便中主要的菌群是大肠埃希菌、肠球菌和厌氧菌,约占80%。
89、女性,25岁。一周以来自觉下腹部不适,尿道口发热发痒,有烧灼感。查体:尿道口有浆液性分泌物,涂片镜检WBC(+),上皮细胞(+),可见肾形双球菌,生化反应:发酵葡萄糖,产酸,不酵解麦芽糖。据此推测患者可能感染的微生物是
A 淋病奈瑟菌
B 大肠埃希菌
C 金黄色葡萄球菌
D 沙眼衣原体
E 链球菌
✅ 正确答案:A
💡 核心解析:淋病奈瑟菌是常见的性传播疾病淋病的病原菌,主要通过性接触直接感染泌尿生殖道、口咽部和肛门直肠黏膜。
90、磷酸戊糖途径存在于
A 嗜酸性粒细胞
B 肝脏
C 心肌组织
D 肾脏
E 中性粒细胞
✅ 正确答案:B
💡 核心解析:磷酸戊糖途径在胞浆中进行,存在于肝脏、乳腺、红细胞等组织。
91、作为转氨酶作用的辅助因子的维生素是
A 烟酸
B 硫胺素
C 四氢叶酸
D 泛酸
E 磷酸吡哆醛
✅ 正确答案:E
💡 核心解析:本题考查转氨酶的辅酶,转氨酶转氨基时,辅酶磷酸吡哆醛从α-氨基酸上接受氨基转变为磷酸吡哆胺,后者将其氨基转给α-酮酸,辅酶又恢复为磷酸吡哆醛,在催化中起着传递氨基的作用。
92、嗜血杆菌分离培养时,除需要X因子外,还需要
A 高铁血黄素
B 细胞色素氧化酶的辅酶
C NAD+
D 过氧化物酶的辅酶
E 过氧化氢酶的辅酶
✅ 正确答案:C
💡 核心解析:X因子是血红蛋白中的一种血红素及其衍生物,为高铁血红素,是细菌合成过氧化氢酶、过氧化物酶、细胞色素氧化酶的辅基。V因子是烟酰胺腺嘌呤二核苷酸(NAD+),存在于血液和某些植物组织中,是脱氢酶的辅酶。
93、口服华法林抗凝药物时,应监测
A D-D
B APTT
C INR
D FIB
E TT
✅ 正确答案:C
💡 核心解析:凝血酶原时间用于香豆素类等口服抗凝剂的监控,一般认为以维持PT值在参考值的2倍左右(1.3~2.5倍)即25~30s,或PTR为1.3~1.5(最大不超过2),INR为2.0~3.0为宜。
94、使血糖降低的激素为
A 肾上腺皮质腺素
B 甲状腺激素
C 胰岛素
D 生长激素
E 胰高血糖素
✅ 正确答案:C
💡 核心解析:胰岛素是主要的降血糖激素,系由胰岛B细胞所产生,其主要作用有①促进细胞摄取葡萄糖;②促进糖原合成,减少糖原分解;③促进糖氧化和分解,加速糖的利用;④促进甘油三酯的合成和储存;⑤阻止糖异生作用。高血糖、高氨基酸、胰泌素、胰升糖素和迷走神经兴奋等都可促进胰岛素的释放。
95、引起乳糜尿最常见的原因是
A 慢性丝虫病
B 腹膜结核
C 肾病综合征
D 肾小管变性疾病
E 先天性淋巴管畸形
✅ 正确答案:A
💡 核心解析:丝虫病所致的乳糜尿是慢性丝虫感染的主要症状之一,是乳糜尿最常见的原因,丝虫在淋巴系统反复引起淋巴管炎,大量纤维组织增生使腹部广泛淋巴道、胸导管阻塞所致。丝虫引起乳糜尿常间断出现,过劳、妊娠、分娩常是诱因,亦可持续存在。
96、与AML-M2a骨髓象不符合的是
A 骨髓增生明显或极度活跃
B 原始粒细胞占30%~89%(非红系)
C 原粒细胞中可见Auer小体
D 早幼粒、中幼粒和成熟粒细胞之和>10%
E 幼红细胞及巨核细胞明显减少
✅ 正确答案:C
💡 核心解析:骨髓象骨髓增生极度活跃或明显活跃,骨髓中原始粒细胞占30%~89%(非红系),早幼粒、中幼粒和成熟粒细胞大于10%,白血病细胞内可见Auer小体,幼红细胞及巨核细胞明显减少。此型白血病细胞的特征是形态变异及核质发育不平衡。
97、《中国成人血脂异常防治指南》(2007)版建议LDL-C的合适范围是
A <3.37
B >1.04
C <1.03
D >3.62
E <2.59
✅ 正确答案:A
💡 核心解析:我国血脂异常防治建议将LDL-C分成3个水平:<3.37mmol/L(130mg/dl)为合适范围;3.37~4.12mmol/L(130~159mg/dl)为边缘升高;≥4.14mmol/L(160mg/dl)为升高。
98、《中国成人血脂异常防治指南》(2007)版建议HDL-C的合适范围是
A <3.37
B >1.04
C <1.03
D >3.62
E <2.59
✅ 正确答案:B
💡 核心解析:我国血脂异常防治建议将HDL-C分为2个水平:≥1.04mmol/L为合适范围;≤0.91mmol/L为减低。
99、不属于非蛋白含氮化合物的是
A 尿素
B 肌酐
C 尿酸
D 肌酸
E 乳酸
✅ 正确答案:E
💡 核心解析:本题考察非蛋白氮的概念。非蛋白氮为含有氮原子的非蛋白物质。乳酸不含有氮原子。
100、人体嘌呤分解代谢的主要终产物是
A 尿素
B 肌酐
C 尿酸
D 肌酸
E 乳酸
✅ 正确答案:C
💡 核心解析:尿酸是人体内嘌呤分解代谢的终产物。


关注我职称考试不迷路