



中考生运动会湿滑摔倒了
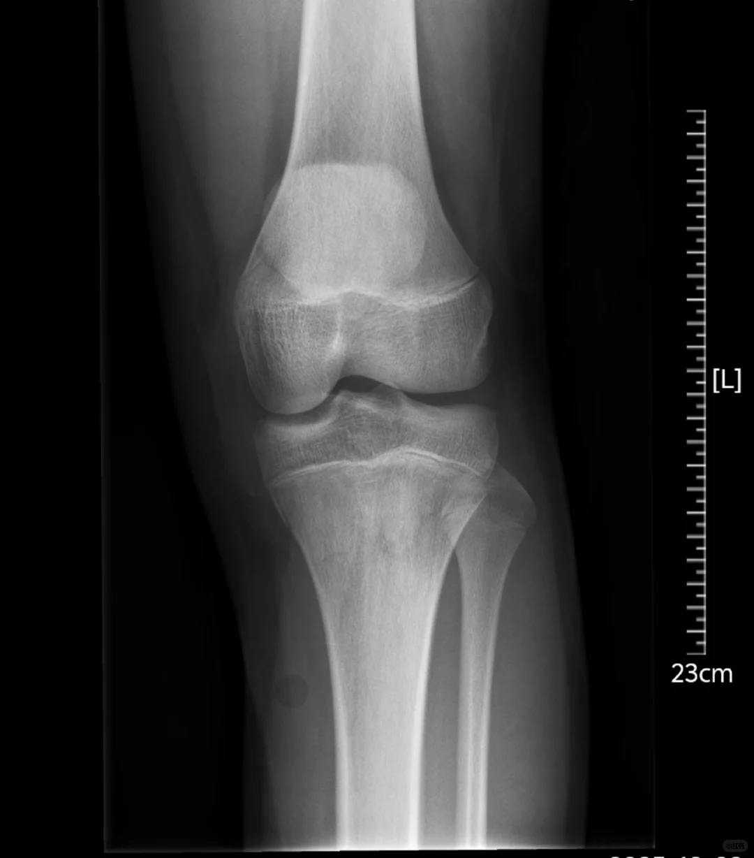
医生根据ct结果总结左胫骨平台见骨折线,其断端无分离及成角,周围软组织稍肿胀,余左膝关节诸骨未见骨折及脱位征
在医院做了各种检查后建议手术
请问各位懂行的大神们有什么建议吗
能否保守治疗,早日康复
#医学影像学 #骨折 #广州骨科 #中考 #中考体育 #胫骨骨折保守治疗
医生根据ct结果总结左胫骨平台见骨折线,其断端无分离及成角,周围软组织稍肿胀,余左膝关节诸骨未见骨折及脱位征
在医院做了各种检查后建议手术
请问各位懂行的大神们有什么建议吗
能否保守治疗,早日康复
#医学影像学 #骨折 #广州骨科 #中考 #中考体育 #胫骨骨折保守治疗
文章来源:
四季读书网
版权声明:本文内容由互联网用户自发贡献,该文观点仅代表作者本人。本站仅提供信息存储空间服务,不拥有所有权,不承担相关法律责任。如发现本站有涉嫌抄袭侵权/违法违规的内容, 请发送邮件至23467321@qq.com举报,一经查实,本站将立刻删除;如已特别标注为本站原创文章的,转载时请以链接形式注明文章出处,谢谢!